Title : Pulmonary cryptococcosis masquerading as tuberculosis and lung malignancy: A diagnostic challenge
Background: Pulmonary cryptococcosis is an uncommon fungal infection caused by Cryptococcus neoformans. It can mimic tuberculosis, lung malignancy, or other granulomatous diseases, leading to diagnostic challenges, particularly in immunocompetent individuals.
Case Presentation: A 60-year-old male with a history of chronic kidney disease presented with progressive weight loss over several months. He had previously been treated empirically for pulmonary tuberculosis for four months by a private practitioner without clinical improvement. On examination, the patient was afebrile with stable vital signs and normal oxygen saturation.
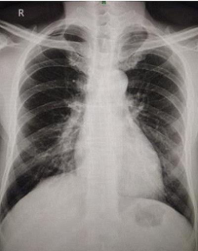
Computed tomography (CT) of the chest revealed a solid non-calcified nodule in the posterobasal segment of the left lower lobe along with patchy subpleural consolidation in the leftt upper lobe, raising suspicion of malignancy or granulomatous infection.
Fiberoptic bronchoscopy was performed and bronchial washings were sent for microbiological evaluation. Gram stain, fungal stain, and acid-fast bacilli smear were negative, and GeneXpert testing did not detect Mycobacterium tuberculosis. Due to persistent diagnostic uncertainty, a CT-guided lung biopsy of the left lower lobe nodule was performed.
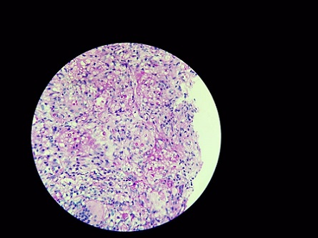
Histopathological examination demonstrated granulomatous inflammation with multinucleated giant cells. Special fungal staining revealed numerous refractile yeast forms consistent with Cryptococcus neoformans. Serum cryptococcal antigen was weakly positive, and evaluation did not reveal extrapulmonary involvement.
Conclusion: Pulmonary cryptococcosis can present as solitary pulmonary nodules mimicking tuberculosis or lung malignancy. In patients with atypical radiological findings and negative microbiological investigations, lung biopsy plays a crucial role in establishing the diagnosis. Early recognition of this rare infection can prevent misdiagnosis and allow timely initiation of antifungal therapy.




Dr. Monisha Anandhan is a pulmonologist trained in respiratory medicine at the Department of Respiratory Medicine at Apollo Hospitals. Her clinical interests include pulmonary infections, interventional pulmonology, and critical care medicine. She is actively involved in academic presentations and clinical research focusing on the diagnosis and management of complex respiratory infections.